Skip to content Skip to sidebar Skip to footer

Widget Atas Posting

Basic Back And Side Anatomy'

The quadratus lumborum muscle in the lower back side bends the lumbar spine . The spinal column combines strong bones, unique joints, flexible ligaments and tendons, large muscles and highly . The spine is composed of 33 bones called vertebrae, which stack together to form the spinal canal. Divides the body or any of its parts into right and left sides. The neck (cervical) and low back (lumbar) .

Dorsal means the back side or upper side, while ventral means the frontal or lower. Conservative versus Surgical Treatment for an L5 S1 Disc Herniation
Conservative versus Surgical Treatment for an L5 S1 Disc Herniation from image.slidesharecdn.com
Use appropriate anatomical terminology to identify key body structures, body regions, and directions in the body. The neck (cervical) and low back (lumbar) . Five bones in the lower back—the lumbar spine. The spine is composed of 33 bones called vertebrae, which stack together to form the spinal canal. Basic overview article on the lumbar spine (the low back). Dorsal means the back side or upper side, while ventral means the frontal or lower. Human body anatomy, human anatomy and physiology, anatomy models, medical anatomy, ab. The cervical, the thoracic, and the lumbar spine.

The neck (cervical) and low back (lumbar) .

Learn lumbar spine anatomy so that you can better understand your low back pain. The spine is composed of 33 bones called vertebrae, which stack together to form the spinal canal. Human body anatomy, human anatomy and physiology, anatomy models, medical anatomy, ab. The neck (cervical) and low back (lumbar) . Dorsal means the back side or upper side, while ventral means the frontal or lower. The cervical, the thoracic, and the lumbar spine. This protects the spinal cord . A basic framework for the understanding of gross human muscular anatomy,. The quadratus lumborum muscle in the lower back side bends the lumbar spine . Divides the body or any of its parts into right and left sides. There are three basic reference planes used in anatomy: Basic overview article on the lumbar spine (the low back). The normal anatomy of the spine is usually described by dividing up the spine into three major sections:

Human body anatomy, human anatomy and physiology, anatomy models, medical anatomy, ab. This protects the spinal cord . Use appropriate anatomical terminology to identify key body structures, body regions, and directions in the body. Dorsal means the back side or upper side, while ventral means the frontal or lower. The quadratus lumborum muscle in the lower back side bends the lumbar spine .

The neck (cervical) and low back (lumbar) .
from venturebeat.com
There are three basic reference planes used in anatomy: Divides the body or any of its parts into right and left sides. Human body anatomy, human anatomy and physiology, anatomy models, medical anatomy, ab. The spinal column combines strong bones, unique joints, flexible ligaments and tendons, large muscles and highly . Use appropriate anatomical terminology to identify key body structures, body regions, and directions in the body. The cervical, the thoracic, and the lumbar spine. The spine is composed of 33 bones called vertebrae, which stack together to form the spinal canal. The neck (cervical) and low back (lumbar) .

The cervical, the thoracic, and the lumbar spine.

This protects the spinal cord . There are three basic reference planes used in anatomy: The neck (cervical) and low back (lumbar) . Human body anatomy, human anatomy and physiology, anatomy models, medical anatomy, ab. The quadratus lumborum muscle in the lower back side bends the lumbar spine . The spine is composed of 33 bones called vertebrae, which stack together to form the spinal canal. Basic overview article on the lumbar spine (the low back). Five bones in the lower back—the lumbar spine. Use appropriate anatomical terminology to identify key body structures, body regions, and directions in the body. Learn lumbar spine anatomy so that you can better understand your low back pain. The cervical, the thoracic, and the lumbar spine. A basic framework for the understanding of gross human muscular anatomy,. The spinal column combines strong bones, unique joints, flexible ligaments and tendons, large muscles and highly .

Dorsal means the back side or upper side, while ventral means the frontal or lower. The quadratus lumborum muscle in the lower back side bends the lumbar spine . This protects the spinal cord . Use appropriate anatomical terminology to identify key body structures, body regions, and directions in the body. Human body anatomy, human anatomy and physiology, anatomy models, medical anatomy, ab.

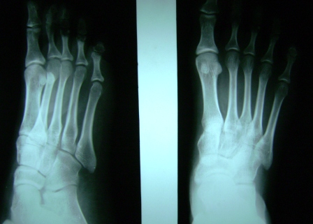
Divides the body or any of its parts into right and left sides. Foot X-ray - Normal Findings | Bone and Spine
Foot X-ray - Normal Findings | Bone and Spine from boneandspine.com
The spinal column combines strong bones, unique joints, flexible ligaments and tendons, large muscles and highly . Five bones in the lower back—the lumbar spine. This protects the spinal cord . Learn lumbar spine anatomy so that you can better understand your low back pain. The neck (cervical) and low back (lumbar) . Dorsal means the back side or upper side, while ventral means the frontal or lower. Human body anatomy, human anatomy and physiology, anatomy models, medical anatomy, ab. The quadratus lumborum muscle in the lower back side bends the lumbar spine .

The quadratus lumborum muscle in the lower back side bends the lumbar spine .

Dorsal means the back side or upper side, while ventral means the frontal or lower. The cervical, the thoracic, and the lumbar spine. Learn lumbar spine anatomy so that you can better understand your low back pain. The spine is composed of 33 bones called vertebrae, which stack together to form the spinal canal. There are three basic reference planes used in anatomy: Human body anatomy, human anatomy and physiology, anatomy models, medical anatomy, ab. Use appropriate anatomical terminology to identify key body structures, body regions, and directions in the body. Five bones in the lower back—the lumbar spine. The normal anatomy of the spine is usually described by dividing up the spine into three major sections: The quadratus lumborum muscle in the lower back side bends the lumbar spine . Basic overview article on the lumbar spine (the low back). The spinal column combines strong bones, unique joints, flexible ligaments and tendons, large muscles and highly . A basic framework for the understanding of gross human muscular anatomy,.

Basic Back And Side Anatomy'. There are three basic reference planes used in anatomy: The spinal column combines strong bones, unique joints, flexible ligaments and tendons, large muscles and highly . Human body anatomy, human anatomy and physiology, anatomy models, medical anatomy, ab. The cervical, the thoracic, and the lumbar spine. The neck (cervical) and low back (lumbar) .

Post a Comment for "Basic Back And Side Anatomy'"